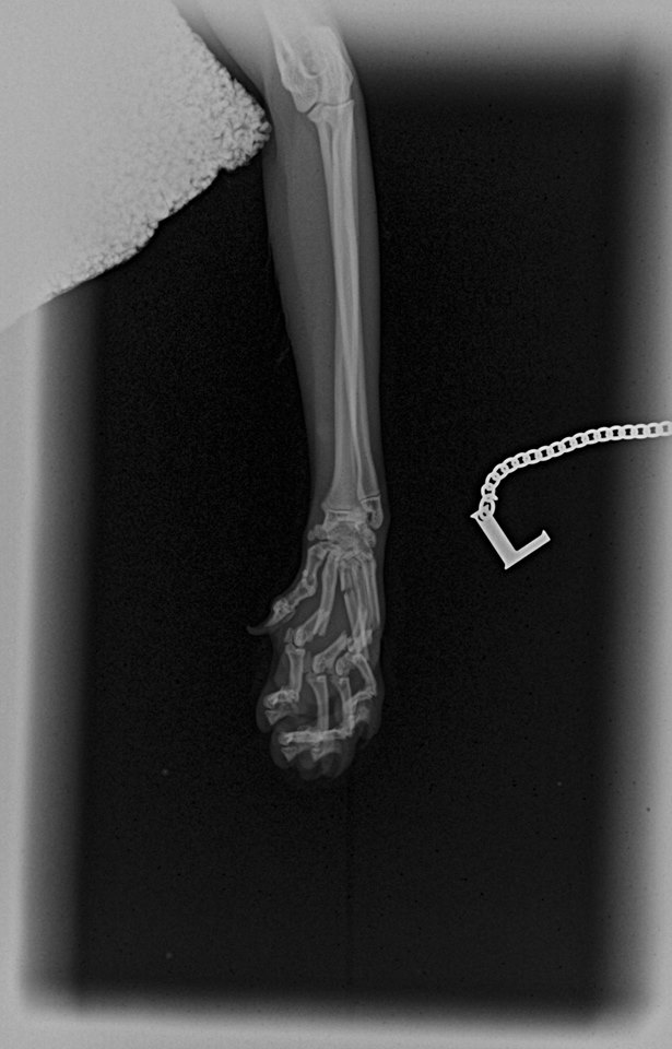
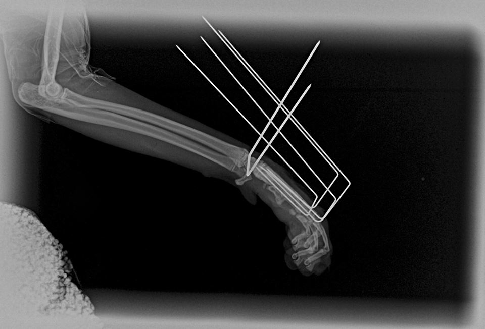
Tento černý kocourek spadl z 2. patra a zlomil si záprstí na jedné přední končetině. Konkrétně se jedná o sériovou frakturu všech metacarpálních kostí. Aby mohl zase běhat, bez operace se to neobešlo. Použili jsme externí skeletní fixaci tzv. „spider frame“, který poprvé použil Dr. Fitzpatrick, UK.






